GENERAL INFORMATION
Malignant Fibrous Histiocytoma (MFH) usually arises in soft tissue and is typically a malignant soft tissue sarcoma, but may arise from bone in 1% to 5% of all cases and accounts for 3% to 8% of all bone tumors. In this case it is called MFH of Bone. It is a rare tumor. It can occur in patients ranging from 10 to 60 years old, the largest number occurred in the second decade.
CLINICAL DATA
MFH of Bone arises in 75% of the cases from the appendicular skeleton. It is the second most common bone sarcoma in an adult after chondrosarcoma. The most common locations are the distal femur and proximal tibia. Approximately 25% of MFH of bone is secondary to a pre-existing condition such as Paget disease, radiation, giant cell tumor, and bone infarction. Patients commonly present with pain and swelling.
RADIOGRAPHIC PRESENTATION
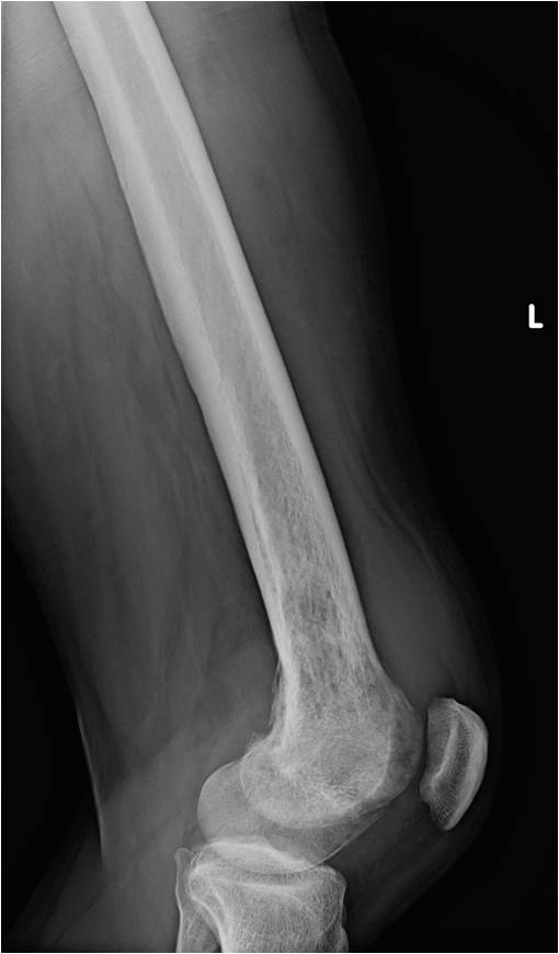
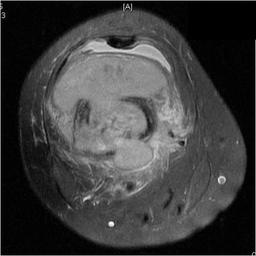
On radiographs, most MFHs of Bone are located in the metaphysis and present as purely osteolytic permeative lesions without a periosteal reaction and without mineralization (Fig. 1 &2). On MR images, MFH of Bone has ill-defined margins usually with cortical destruction of bone and extension into the soft tissues. It is usually hypo- or isointense to muscle on T1-weighted images (Fig. 3) and heterogeneous high intensity on T2-weighted images (Fig. 4-6).

Fig. 1

Fig. 2
Fig. 1 & 2: Plain x-rays of an MFH of the distal femur. AP (Fig. 1) and Lateral (Fig. 2) view shows a permeative lytic lesion in the distal femur without a periosteal reaction and without mineralization. The lesion is poorly circumscribed.

Fig. 3: Coronal T1-weighted MR image of a Malignant Fibrous Histiocytoma of Bone demonstrates a lesion with intermediate signal similar to muscle in the distal femur. The lesion extends into the surrounding soft tissues.

Fig. 4

Fig. 5

Fig. 6
Fig. 4-6: MRI Axial (Fig. 4) and (Fig. 5) T2 –weighted fat-suppressed images show a heterogeneous lesion in the distal femur. Axial T2- weighted fat suppress image (Fig. 6) demonstrates a heterogeneous lesion with hyperintense areas admixed with hypointense signal areas concordant with hemorrhage and necrosis. High grade sarcomas are commonly associated with hemorrhage and necrosis.
PATHOLOGY
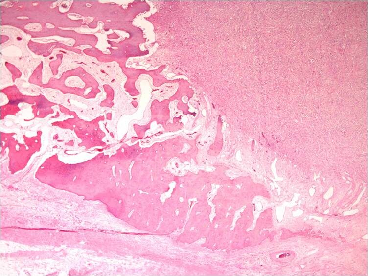
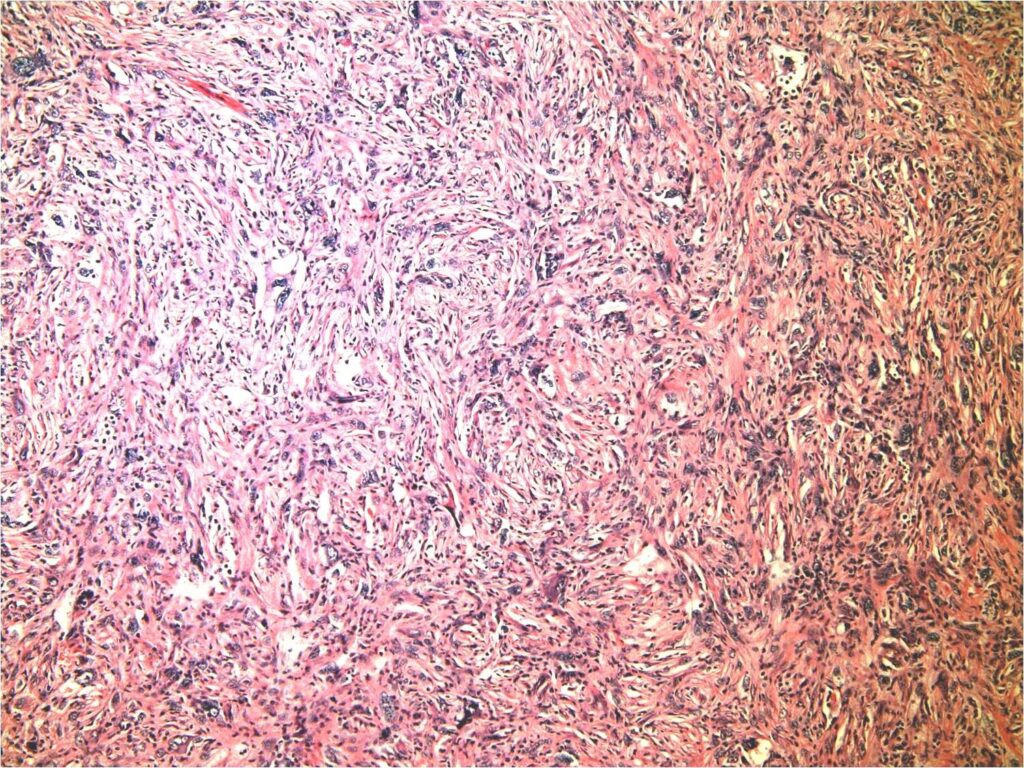
Malignant fibrous histiocytoma of bone is a high-grade spindle cell sarcoma. Microscopically they are heterogeneous fibroblastic tumors formed by poorly differentiated fibroblasts, myofibroblasts, histiocyte-like cells with high degree of pleomorphism, characteristic storiform pattern and also demonstrate bizarre multi-nucleated giant cells (Fig. 7-9).

Fig. 7

Fig. 8

Fig. 9
Fig. 7-9: Microscopic Pathology. Low (Fig. 7), intermediate (Fig. 8) and high (Fig. 9) power magnification H&E slides demonstrate a hypercellular high grade spindle cell sarcoma. Abundant poorly differentiated fibrous tissue is visible in storiform pattern in all magnifications. Multiple giant cells are also seen. Tumor cells are pleomorphic and darkly stained. There are large bizarre appearing cells and atyipical mitotic figures.
PROGNOSIS
Overall, the 5-year survival rate for patients with high-grade tumors of the extremities without metastases at presentation is approximately 65%.
TREATMENT
Treatment is the same as conventional osteosarcoma, including; pre- and postoperative chemotherapy and surgical resection.