GENERAL INFORMATION
Hibernoma is a benign neoplasm made up of multivacuolated brown fat cells. It is a type of lipoma.
CLINICAL DATA
• Rare, represents less than 2% of all types of lipomas
• Made of brown fat
• Affects ages between second and third decade of life
• Male preference
• May produce steroid hormones
DIFFERENTIAL DIAGNOSIS
• Lipoma
• Liposarcoma (well-differentiated)
• Rhabdomyosarcoma
• Hematoma
CLINICAL PRESENTATION
Sign/Symptoms
• Slow-growing mass
• Painless
Prevalence
• Preference for males (60%)
• May occur in other age groups as well, but usually arises between 20 and 30 years of age
Site
• Most commonly scapular and intrascapular region
• Thigh, chest wall, back, axilla and groin
RADIOGRAPHIC PRESENTATION
Plain x-ray
• No specific radiological features
CT
• Well-defined lesion
• Tissue attenuation intermediate between fat and skeletal muscle
MRI
• Well-defined mass
• High signal intensity similar to fat on T1W and T2W (Fig. 1 and 2)
• T1W shows areas of low signal intensity between that of fat skeletal muscle
• On fat suppression sequences show incomplete fat suppression.


Fig. 1-2 MRI of lower extremity hibernoma (Fig. 1 and Fig. 2) shows similar signal intensity to subcutaneous fat fat on different sequences.
PATHOLOGY
Gross
• Soft
• Well-circumscribed
• Tan to red-brown on cut section
• Usually 5 to 10 cm Ø
Microscopic
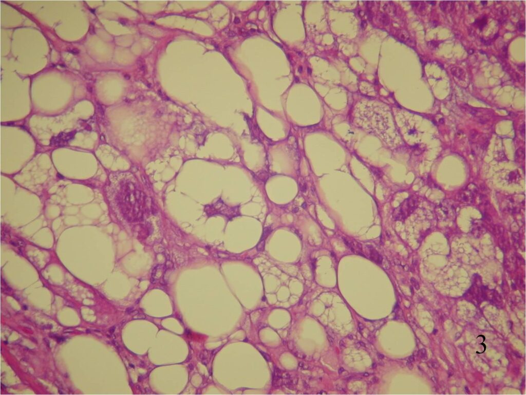
• Well-differentiated tumors, with lobulated pattern (Fig. 3)
Cells are uniform, round to oval cells
• May have central nuclei
• Granular to multivacuolated eosinophilic cytoplasm
Univacoulated fat cells are often admixed
• Sometimes numerous enough to produce an appearance intermediate between hibernoma and ordinary lipoma
• Poorly differentiated tumors
Endothelial cells are more atypical, close-packed, and often spindle-shaped
Progressive loss of evident vascular channels

Fig. 3 High power photograph shows a well differentiated tumor, with uniform cells. Note the nuclei is small with no atypia. There are multivacuolated cells and a cell with a central nucleus
IMMUNOHISTOCHEMISTRY
Positive
• S100
• Oil red O
• Sudan black
Negative
• CD 34
• P53
PROGNOSIS
BIOLOGICAL BEHAVIOR
• Hibernoma is benign and does not metastasize or convert to a malignancy
• It can grow to a large size
• Non-invasive
• Rare risk of recurrence after removal
TREATMENT
• Excision (Fig. 4 and 5)


Fig. 4-5 Intraoperative photograph of a resection of a hibernoma (Fig. 4 and 5)