GENERAL INFORMATION
Clear Cell Sarcoma of Soft tissue is a very rare (1% of all soft tissue sarcomas) and aggressive melanocytic sarcoma that was described for the first time by Enzinger in 1965. It is also referred to as melanoma of soft parts.
CLINICAL DATA
It is more frequent in adolescents and young adults. Clear cell sarcomas occur slightly more often in males (60%). Located in 95% of the cases in lower extremities, mostly under fascia, and tends to occur near tendons, fascia and aponeuroses. It is one of the more common soft tissue sarcomas to affect the foot and ankle region. Patients commonly present with a firm, slowly enlarging soft-tissue mass that is usually painless.
RADIOGRAPHIC PRESENTATION
Clear cell sarcomas may appear benign looking on MR images. Usually, slightly increased signal intensity than muscle on T1-weighted images and low signal intensity on T2-weighted images. The MRI appearance is characteristic for melanocytic tumors.

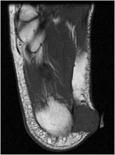
Fig. 1

Fig. 2
Fig. 1 & 2: MRI Sagittal (Fig. 1) and Coronal (Fig. 2) T1 images of the right foot demonstrating a well-circumscribed soft tissue mass with mildly increased signal compared with muscle, located along the medial aspect of the calcaneous bone. No marrow abnormalities or surrounding soft tissue edema is noted.

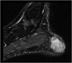
Fig. 3

Fig. 4
Fig. 3 & 4: MRI Sagittal (Fig. 3) and Coronal (Fig. 4) T2 weighted images of the right foot show a well-circumscribed soft tissue mass with high signal intensity admixed with some hypointense areas, located along the posterior and medial aspect of the calcaneous bone.
PATHOLOGY
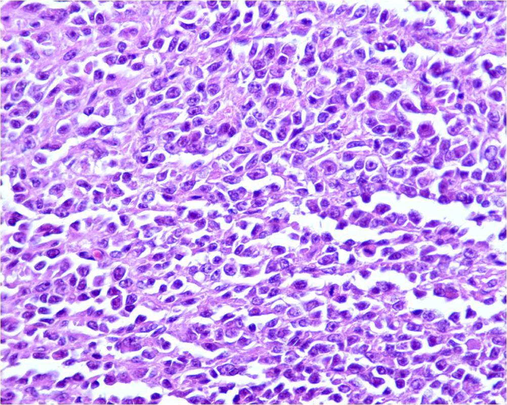
Clear Cell Sarcoma is a high-grade malignancy and 90% of the cases have a specific translocation, t(12;22)(q13;q12). That mutation helps to differentiate Clear Cell Sarcoma from Melanomas. Microscopically, tumors have an epithelioid-appearing proliferation, admixed with spindle and giant cells. There is a considerable amount of clear cytoplasm around the atypical epithelioid nuclei.

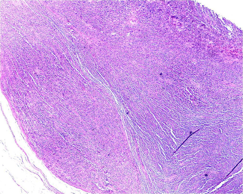
Fig. 5

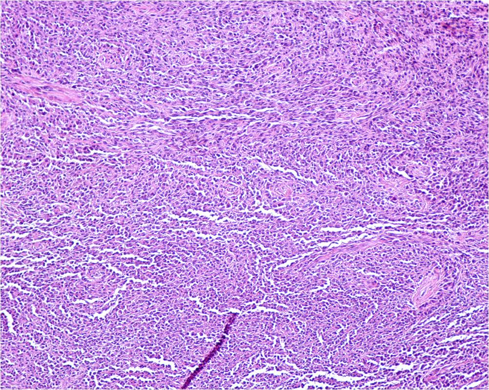
Fig. 6

Fig. 7
Fig. 5-7: Microscopic Pathology. Low (Fig. 5), Intermediate (Fig. 6) and High (Fig. 7) power view shows polygonal and elongated shaped cells with acidophilic cytoplasm and prominent nucleoli, with fascicular growth pattern, delineated by fibrous septa. There is a considerable amount of clear cytoplasm around the atypical epithelioid nuclei. There is minimal pleomorphism, low mitotic rate and no evidence of necrosis.

Fig. 8

Fig. 9
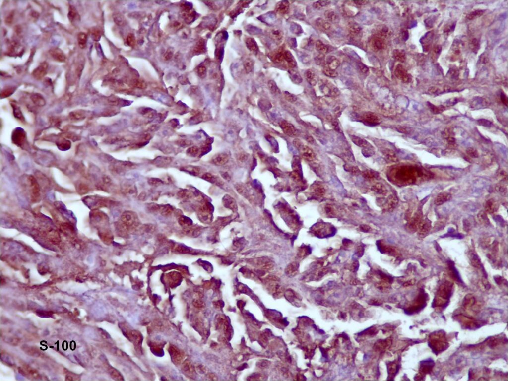
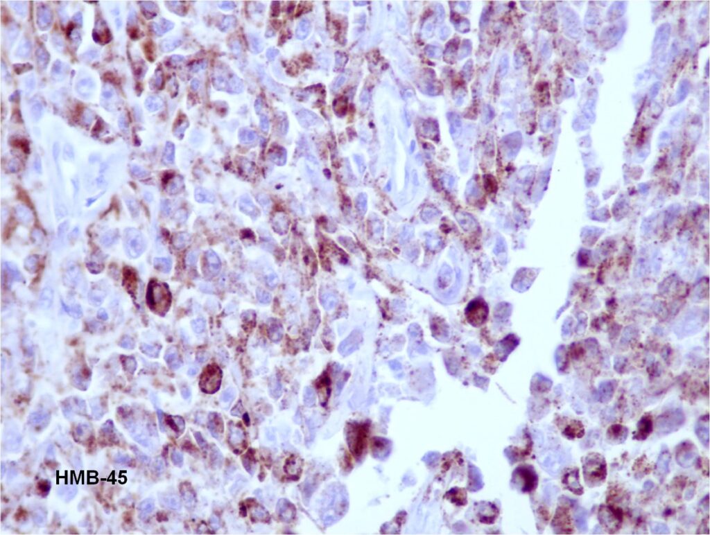
Fig. 8 & 9: Immunomarkers for melanoma antigens S100 (Fig. 8) and HMB45 (Fig. 9) were positive.
TREATMENT
Presently, radiation and chemotherapy have not been shown to be effective primary treatment modalities. Surgical removal is the mainstay of treatment. Instead, wide local excision, aggressive resection, or amputation often with adjuvant radiotherapy are the current standards of care. Clear cell sarcomas have high rates of local recurrence, distant metastases and lymph node metastases (12-43%). The overall survival rate for 5 years is 60%.