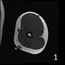
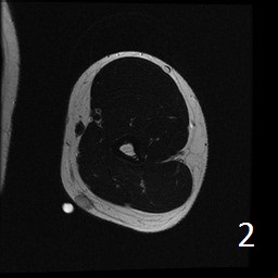
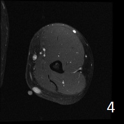
Angiolipoma is a subcutaneous benign tumor, made up of mature fat and blood vessels that often presents as multiple lesions. It sometimes arises intramuscularly. The incidence may be associated with familial heritage, close to 5% of the cases. Angiolipomas often arise in young patients, shortly before puberty, and are rarely seen in younger children or older adults. Angiolipomas often present as single or multiple subcutaneous tender to painful nodules (especially multiple ones). The pain may decrease as the lesion ages. No preference for ages or gender. Sites more commonly affected are the upper extremity and trunk, but rarely can affect head and neck region. MRI shows homogeneous and well circumscribed lesion, with intermediated signal on T1w (Fig. 1) and increased signal on T2W (Fig. 2). On fat suppress sequences the tumor may not suppress completely necause of its vascularity (Fig. 3). There is significant enhancement post contrast images (Fig. 4). On gross pathology the mass is a circumscribed, yellow-red nodular mass due high fat content and blood vessel proliferation. Microscopically, shows mature fat cells separated by branching network of small blood vessels, more prominent in subcapsular areas; there are usually associated fibrin thrombi (important sign). Adipocytes and interspersed vascular structures are seen, lined by elongated endothelial cells. These cells are irregular, and fingerlike extensions surrounded by periytes. Angiolipoma is a benign mass. It does not exhibit aggressive behavior. It rarely shows recurrence after resection. The treatment is complete surgical excision.




Fig. 1-4: Axial MRI of the arm shows a well circumscribed mass with intermediate signal on T1W (Fig. 1), and increased in T2W (Fig. 2). Fig. 3 Axial T1W FS shows a lesion and moderate intense on T1WFS post contrast (Fig. 4).