General Information
- Malignant tumor
- Comprised of neoplastic chondrocytes
- With abundany, clear cytosplasm
- Little interveining matrix
- Foci of conventional chondrosarcoma may be present
Clinical Presentation
Signs/Symptoms:
- Pain and swelling
- There may be interference with motion
- Often of long duration
Prevalence:
- ~2% of all chondrosarcomas
- 2 to 1 male predilection
Age:
- Adolescence to old age
- Most common in third and fourth decades
Sites:
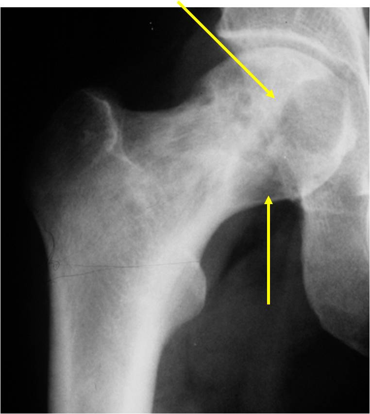
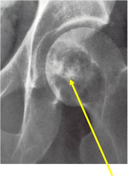
- Epiphyses of long bones
- Most commonly proximal femur, proximal humerus, distal femur, proximal tibia
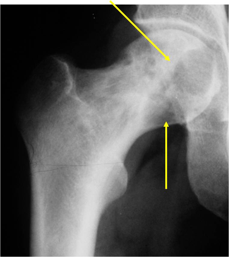
Radiographic Presentation
- Usually osteolytic, expansile lesion
- May be focally calcified
- Often a sharp interface between tumor and surrounding bone
- Sclerotic rim is uncommon
- Overlying cortex is usually thin, but intact







Gross Pathology
- Cut surface
- Typically lacks appearance of conventional chondrosarcoma
- Usually red, soft and granular
- Possibly multiple cysts
- Small areas of gray or white cartilage may be irregularly interspersed
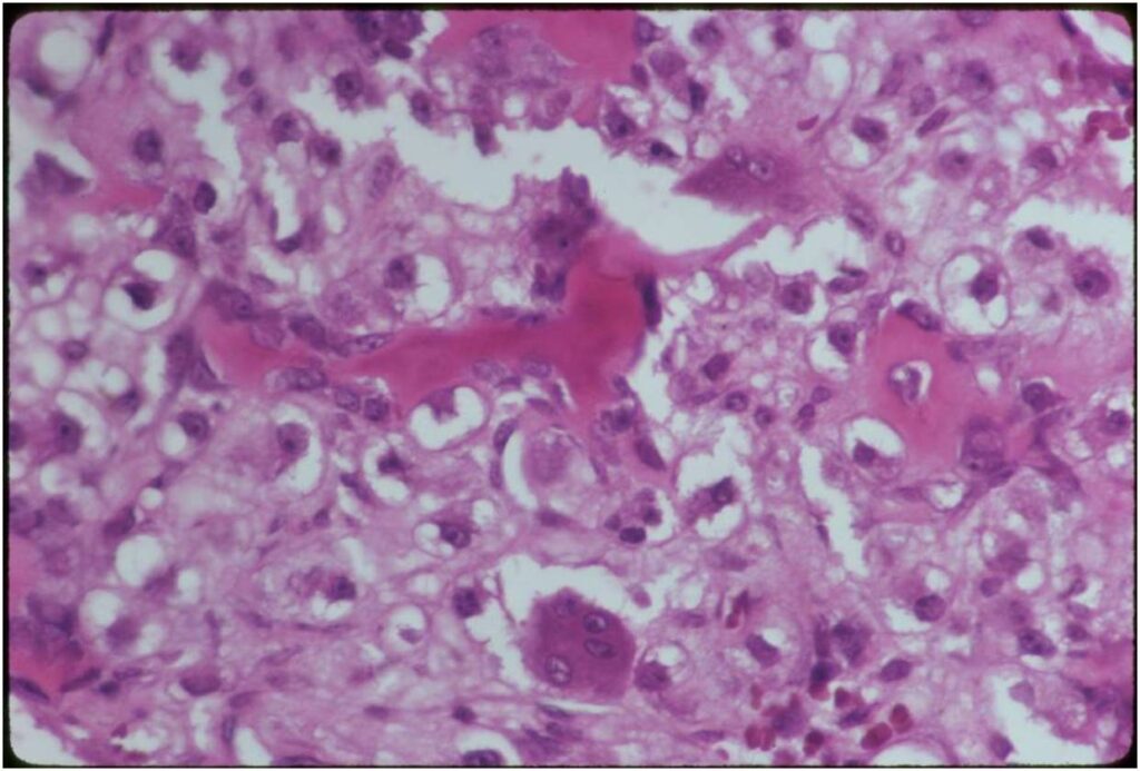
Microscopic Pathology
- May have inconspicuous lobular pattern
- Sometimes microlobules are separated by delicate fibrovascular stroma
- Dominant cell is chondrocyte
- Variably clear cytoplasm
- Condensation of powdery cytoplasm near membrane or nucleus
- Sharply defined cell borders
- Nuclei are enlarged and rarely binuclear
- Matrix formation is sparse
- Small deposits of chondroid material between clear cells
- May be focally calcified
- More abundant m,atrix may be found in areas of conventional chondrosarcoma
- These areas found in about half of clear cell variants




Biological Behavior
- Slightly aggressive
- Destructive cortical penetration is rare, but possible
- Recurrence rare
- Metastasis somewhat common
Treatment and Prognosis
- En bloc resection with wide margin of normal bone and soft tissue
- Procedure of choice
- Recurrence rare
- Simple excision or curettage
- 80% risk of local recurrence
- Amputation always a possible back up
- Metastasis
- No microscopic or clinical differences from original lesion
- Somewhat common
- Even if treated with amputation
- Death rate low to moderate